2.3 RF Inhomogeneity



next up previous contents
Next: 2.4 Partial Volume Effect Up: 2 MR Imaging and Previous: 2.2 Basic Principles of

2.3 RF Inhomogeneity

 

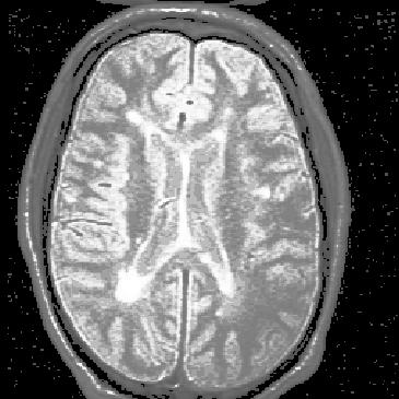
MR images contain unwanted intensity variation due to inhomogeneity in the ``uniform'' magnetic field, , inhomogeneity in the applied RF pulse sequence, , nonuniformity in RF field coil(s) used to measure the FID response signal, and nonuniform loading of the coils by the patient [41][5]. The overall intensity variation, referred to as RF inhomogeneity, is illustrated in Figure 2.4.

  
Figure 2.4: An axial MR slice exhibiting intensity variation due to RF inhomogeneity. Notice that the image intensity drops in the lower right corner.

Tissue Intensity Profiles and Variances

 

As mentioned in Chapter 1, RF inhomogeneity is problematic for MS lesion segmentation algorithms that assume that similar tissue types have similar intensities throughout the MR volume [23][22][25][11]. We therefore wish to reduce RF inhomogeneity in the MR images to improve the results of the segmentation algorithms.

We use brain tissue intensity profiles to illustrate variations in image intensity due to RF inhomogeneity. The tissue intensity profiles show the average intensity of brain tissue voxels in the x, y, and z directions. The profile is produced for each direction by averaging voxels in the other two dimensions. For our MR images, the z-dimension corresponds to the axial direction, looking up through the patient's neck to the top of his/her head. The y-dimension begins at the tip of the patient's nose and ends at the back of his/her head. The x-direction extends from ear to ear.

Figure 2.5 shows the brain tissue intensity profiles for the same MRI volume from which the slice in Figure 2.4 was taken. In the absence of RF inhomogeneity, each of the profiles should be roughly symmetric. Notice, however, that they are not.

  
Figure 2.5: Brain tissue intensity profiles show that intensity variation due to RF inhomogeneity exists in the MR volume.

Brain tissue intensity variance measures can be used to reinforce the intensity profiles. These measures are computed as the statistical variance of the values in each of the directional profiles. Table 2.1 lists the variances corresponding to the intensity profiles given in Figure 2.5. Obviously, the goal of intensity correction will be to flatten the intensity profiles and reduce the variances.

  
Table 2.1: Brain tissue intensity variances in each dimension.



next up previous contents
Next: 2.4 Partial Volume Effect Up: 2 MR Imaging and Previous: 2.2 Basic Principles of



Blair Mackiewich
Sat Aug 19 16:59:04 PDT 1995